下载
App
专属顾问
返回
顶部
首页
诊疗方案
临床指南
药品
搜索
下载 App
登录
首页
诊疗方案
诊疗方案详情
钩端螺旋体病
文献评审 2022-05-27
·
最新修订 2022-11-08
王文
审核专家
传染科 中国医科大学附属第一医院
基础知识
定义
钩端螺旋体病(Leptospirosis)是一种广泛流行的人畜共患病,具有潜在致死性。
病因
直接或间接暴露于感染的宿主动物会引发感染,这些宿主动物的肾小管中携带病原体,尿液中可排出致病性钩端螺旋体。
流行病学
1、流行状况
(1)早期对钩端螺旋体病发病率的研究集中在职业病上,主要是与发达国家的牲畜钩端螺旋体病有关
1-2
。1999 年首次发布了有关全球钩端螺旋体病发病率的数据
3
。根据国际钩端螺旋体病协会调查收集的全球数据,估计发病率为每年 35 万-50 万重度钩端螺旋体病病例
4
。根据钩端螺旋体病负担流行病学参考小组(Leptospirosis Burden Epidemiology Reference Group,LERG)的报告及一项系统性文献综述,估计全球地方性和流行性人钩端螺旋体病的总发病率分别为 5 例/10 万人和 14 例/10 万人
5
。地方性人钩端螺旋体病率因地区而异,欧洲为 0.5/10 万人口,非洲为 95/10 万人口。死亡率随年龄增长而增加,60 岁以上者死亡率更高。
(2)在许多情况下,男性钩端螺旋体病的发病率远高于女性
6-8
。然而,钩端螺旋体病发病率的性别差异似乎完全是由于暴露相关偏倚造成的,与运动事件相关的钩端螺旋体病暴发报告发现,男性和女性的暴露水平相似,性别对疾病的发展没有显著影响
9-10
。
2、感染源
(1)钩端螺旋体的生命周期
致病性钩端螺旋体广泛存在于自然界中,这意味着许多野生动物和家畜宿主的肾脏存在致病性钩端螺旋体感染。钩端螺旋体生命周期包括从尿液排出、持续存在于周围环境、获得新宿主以及通过肾小球或肾小管周围毛细血管血源性播散至肾脏。一旦钩端螺旋体进入肾脏肾小管腔,定植于近端肾小管上皮刷状缘,尿液可长期持续排出钩端螺旋体,但对宿主无明显不良影响。因此,可以认为宿主与钩端螺旋体是一种共生关系(
图 1
)。
(2)宿主
1)小型哺乳动物是最主要的宿主,大型食草动物也是重要传染源。已从数百种哺乳动物中分离出致病性钩端螺旋体,包括蝙蝠和鳍足动物。此外,还从青蛙和蟾蜍等变温动物身上发现了钩端螺旋体,这些动物可能在钩端螺旋体病环境循环中发挥作用,尽管它们可能不是人类感染的主要宿主。仅有少数研究报道称从两栖动物中分离出钩端螺旋体
11-13
。然而,研究结果证明了两栖动物在钩端螺旋体自然传播中的作用
14-20
。尽管许多野生动物和家畜都可以成为宿主,但褐鼠(Rattus norvegicus)是感染人类最主要的传染源。
2)钩端螺旋体病是一种人畜共患病,人类是意外宿主。但值得注意的是,人感染后确实会一过性排出钩端螺旋体,虽然极为罕见,但也可通过性交
21-22
和哺乳
16
传染。如果在妊娠期间感染,钩端螺旋体可经胎盘传播给胎儿,导致流产
23
或死胎
24-25
。
3、传播途径
(1)感染入口包括切口、擦伤或者粘膜,如结膜、口腔或生殖器表面。人们通过直接暴露于感染动物或间接暴露于被感染动物尿液污染的土壤或水而引发感染。
(2)直接暴露
有直接暴露于潜在感染动物风险的职业人员有兽医、屠宰场工作人员、农场工作人员(尤其是负责挤奶的工作人员)、猎人和捕兽者、动物收容所工作人员、科学家和在实验室或现场处理动物的技术人员。暴露风险的大小取决于当地的钩端螺旋体携带率以及暴露的程度和频率。
(3)间接暴露
1)被钩端螺旋体污染的水或土壤更为常见,并且可能与职业、娱乐或业余活动有关。除了上述室外工作外,还与下水道工作、军事演习和高降雨量热带地区的农业耕作有关;后者迄今为止感染人数最多。
2)面临钩端螺旋体病感染风险的农业工人有稻田工人、芋头农民、香蕉农民以及甘蔗和菠萝田间收割者
18
。这些职业涉及的活动可能导致伤口和擦伤暴露于土壤和水,这些土壤和水被啮齿动物和其他被食物吸引来的动物的尿液所污染。例如,在澳大利亚昆士兰热带地区报告的钩端螺旋体病病例中,香蕉工人占三分之二
26
。
(4)娱乐暴露
娱乐暴露涵盖所有淡水活动,包括洞穴探险
27
、划独木舟
28
、皮划艇
29-30
、漂流运动
31
和铁人三项
9-10
。在过去的 20 年里,随着探险运动和比赛的普及,以及前往异国他乡的相对成本下降,此类暴露已经越来越多
32
。竞技活动可导致大规模暴露;2000 年生态挑战赛(
图 2
a)
10
和 1998 年斯普林菲尔德铁人三项赛
9
后分别有 80 和 98 人确诊钩端螺旋体病。国际活动的参加者通常会返回多个目的地国家,回国后可能会发生感染,这使得认识和调查疫情变得复杂。
(5)生活暴露
生活暴露是迄今为止最重要的暴露途径,这影响着生活在热带地区的数百万人。如
图 2
b 所示,缺乏足够的卫生设施和不良的居住条件共同加剧了农村和城市贫民窟社区人口暴露于钩端螺旋体的风险
15,20,33-34
。城市贫民窟的卫生设施不足,居住条件不良,生活在其中的居民是暴露于鼠和钩端螺旋体病的高危人群。Maciel 等人
35
也提出了不良居住条件的影响,与钩端螺旋体病患者生活在同一家庭中的个体,暴露于钩端螺旋体病的风险大大增加(优势比 5.29)。这些很可能是老鼠暴露的替代因素,因为靠近未收集的垃圾和看到老鼠会增加城市贫民窟居民患钩端螺旋体病的风险
34
。
(6)气候变化
在许多热带地区流行,暴雨和洪涝后可出现大流行。对过量降雨事件后大规模爆发感染的认知
36-39
,导致 20 年前,人们将钩端螺旋体病列为一种新传染病
40
。最近,已确定城市化和气候变化之间的相互作用是钩端螺旋体病发病率增加和暴发率增加的重大危险因素
41
,这些变化将增加热带地区城市的贫困人口,且这些地区因气候变化而遭受日益严重的风暴和城市洪灾。有学者提出有必要进行跨学科研究以了解人类演变的影响及其对钩端螺旋体病流行病学的影响
42
。
图 1
钩端螺旋体病的发病因素
钩端螺旋体病的发生取决于三个因素(流行病学、宿主和病原体)及其相互作用。流行病学因素包括卫生、住房、降雨量以及是否发生洪灾。发病率与收入水平、职业和旅行有关,代表特定宿主的相关流行病学因素。宿主的易感性因年龄、遗传因素(如 HLA-DQ6)、皮肤完整性以及是否穿防护服(如手套和靴子)而异。宿主和钩端螺旋体相互作用的方式决定了病原体的途径、暴露和剂量。钩端螺旋体引起疾病的能力不同,是其毒力、运动能力和在宿主体内的存活能力的综合反应,补体抗性至少也发挥了部分作用。宿主的类型决定了特定流行病学环境中存在的病原体类型
图 2
钩端螺旋体病的流行病学环境
a 在马来西亚婆罗洲举行的 2000 年生态挑战综合运动比赛中,多数参赛者患上了钩端螺旋体病。在疾病控制中心联系的 189 名参与者中,80 名(42%)符合钩端螺旋体病的诊断。危险因素包括长时间暴露于雨水泛滥的 Segama 河(图片来源:Reed Hoffmann)。b 老挝的这个农村是典型的钩端螺旋体病流行病学环境。世界上降雨量高的热带地区居民患钩端螺旋体病的风险较高,特别是当积水被野生或驯养动物的尿液污染时,这些动物可能是致病性钩端螺旋体的宿主(图片来源:Ben Adler)
病理生理学
1、当感染过程中发生高水平的钩端螺旋体血症时,先天免疫机制最终触发组织和全身感染反应,导致败血症样综合征或器官衰竭等严重临床结局。更严重后果的发生可能取决于三个因素:流行病学条件、宿主易感性和病原体毒力(
图 1
)。钩端螺旋体病致病机制的第一步是钩端螺旋体穿透组织屏障,进入机体内。潜在感染入口包括皮肤切口或擦伤以及结膜或口腔黏膜。许多研究发现,游泳时吞咽受污染的水是感染的危险因素,这表明了口腔黏膜作为入口的重要性
43-45
。
2、第二步是血行播散。其他致病性螺旋体,如伯氏疏螺旋体和梅毒螺旋体,可感染皮肤,引起皮肤病变,而与之不同是,致病性钩端螺旋体会进入血液并在疾病的钩端螺旋体阶段持续存在。在发热的前 8 天内
46
,形成抗体和清除血液中微生物之前,将血液接种到钩端螺旋体培养基中,通过定量聚合酶链式反应(Polymerase chain reaction,PCR)检测钩端螺旋体,阳性率更高。
3、钩端螺旋体病疾病期间发生的菌血症与回归热疏螺旋体感染引起的菌血症相似
47
,与大肠埃希菌和其他肠杆菌引起的菌血症有很大不同,后者的浓度通常<1 cfu/mL
48
。这些差异,部分是由人类先天免疫反应不同引起的。
(1)人 TLR4 能够识别极低浓度的大肠杆菌脂多糖(lipopolysaccharide,LPS),但无法识别钩端螺旋体 LPS
49
。这种人 TLR4 反应性的差异,一个可能是由于大肠杆菌的脂质 A 组分和钩端螺旋体 LPS 之间的结构差异;钩端螺旋体 LPS 具有独特的甲基化磷酸盐残基,任何其他形式的脂质 A 中均无此结构
50
。
(2)与人 TLR4 相比,小鼠 TLR4 能够识别钩端螺旋体 LPS
51
,表明鼠先天免疫反应能够适应钩端螺旋体感染。这一观点与人和小鼠钩端螺旋体病致病机制的差异是一致的;人类是偶然宿主,会有潜在的致命后果,很少传播感染,而小鼠对致命感染具有抵抗力,是天然宿主。
(3)研究已证实 TLR4 在决定感染结果方面的重要性,研究也表明缺乏 TLR4 的年轻(但不是成年)C3H/HeJ 小鼠容易受问号钩端螺旋体(L.interrogans)的致死性感染
52
。然而,TLR4 只是钩端螺旋体病先天免疫反应的一部分。
(4)人和小鼠 TLR2 均能够识别钩端螺旋体 LPS 的多糖或 2-酮-3-脱氧辛酸(2-keto-3-deoxyoctonoic acid,KDO)
51,53
。只有当 TLR4 和 TLR2 都发生突变时,成年 C57BL/6 J 小鼠才会出现钩端螺旋体病的致死性感染
51
。据推测,TLR2 和其他先天性免疫反应机制调控宿主对可引起症状的钩端螺旋体感染的反应。已证明 TLR2、TLR4 和 TLR5 是高毒力钩端螺旋体诱导全血表达 IL-6 和 TNF-α的必要条件
54
。
4、与轻症患者相比,重度钩端螺旋体病患者可出现 IL-6、IL-10、TNF-α 和许多其他细胞因子水平更高的“细胞因子风暴”
55
。特别是 IL-6 和 IL-10 水平是死亡的独立预测因子,这表明产生过量的 IL-10 可能会抑制保护性 Th1 免疫反应。
5、超抗原刺激的非特异性 T 细胞活化也可能在人钩端螺旋体病中发挥一定的作用。对参加斯普林菲尔德铁人三项赛的运动员进行的研究发现,人类白细胞抗原(human leukocyte antigen,HLA)DQ6 是暴露于高毒力钩端螺旋体污染的湖水后发生钩端螺旋体病的一个独立风险因素
44
,HLA DQ6 等位基因携带者患病风险较高,这表明钩端螺旋体超抗原可刺激淋巴细胞。与疾病相关的 HLA-DQ6 多态性的结构点提示了这种 HLA 依赖性易感性的超抗原机制
44
,尽管此类抗原仍未知。
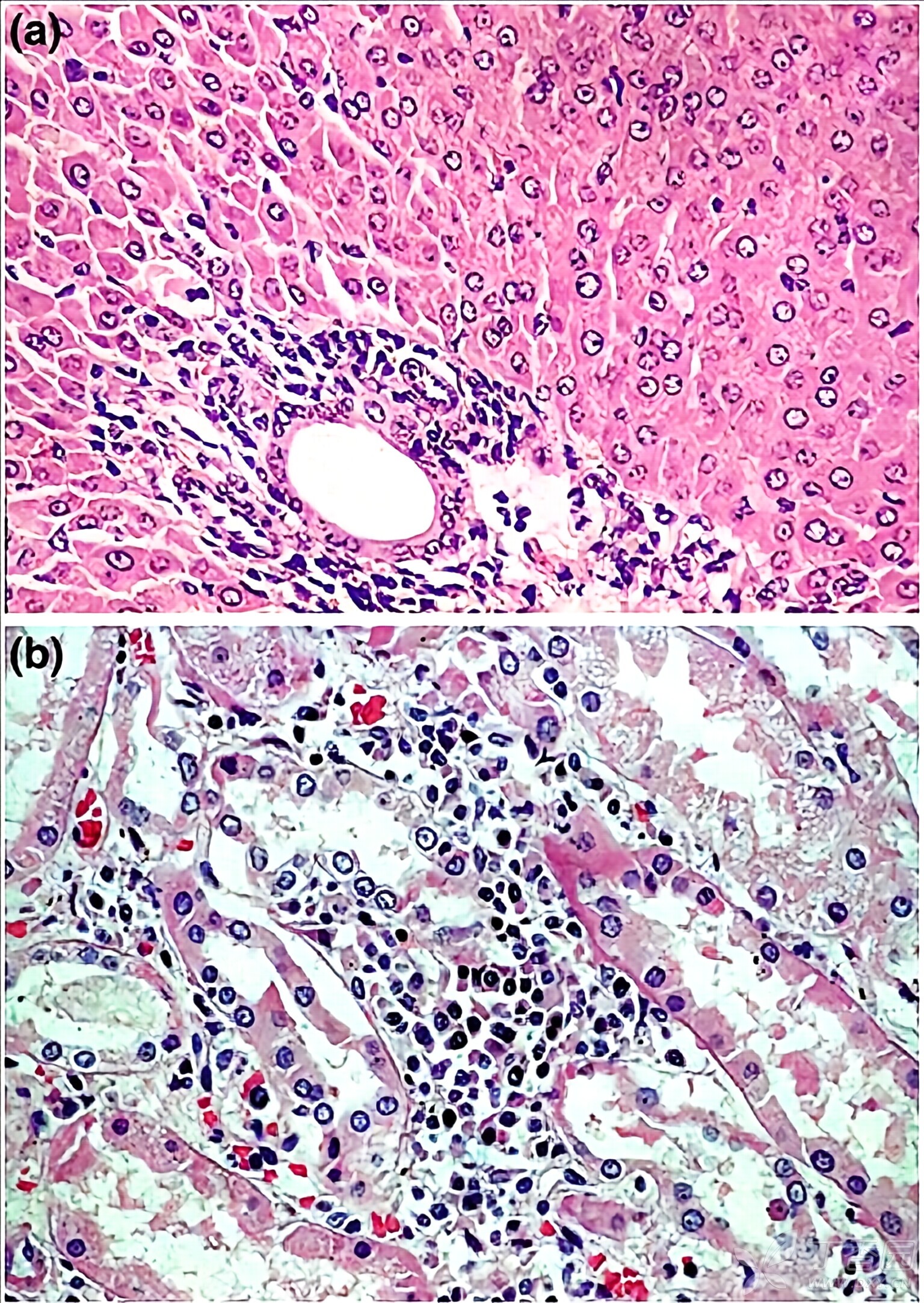
病理学
1、肝脏是钩端螺旋体病的主要靶器官。
(1)钩端螺旋体病致死病例尸检标本的病理学报告发现,血窦充血以及血窦和肝细胞之间的 Disse 间隙扩张
56
。免疫组化研究记录了动物模型的肝细胞间存在大量钩端螺旋体。最近,一项简单研究记录了钩端螺旋体浸润 Disse 间隙并优先附着并侵入肝细胞周围区域
57
。
(2)此外,还在钩端螺旋体病患者中发现了肝细胞凋亡
58
。总之,肝细胞损伤和肝细胞间连接破坏(
图 3
a)导致胆汁从胆小管渗漏到肝窦血管中,这解释了黄疸型钩端螺旋体病患者直接胆红素水平升高的原因。有时,如果钩端螺旋体病诱导了溶血,间接胆红素水平也可能会升高
59
。
2、肺部病理变化在钩端螺旋体病中极为常见。
(1)在 1962 年,Aren 对致命性钩端螺旋体病病例的研究发现,所有 33 例患者的胸膜表面均有肺部瘀点,60%的患者肺部切面有大出血
56
。组织学检查发现肺泡间隔和肺泡腔内均有出血
56
。
(2)巴西最近开展了一项研究,对严重肺出血综合征(severe pulmonary hemorrhage syndrome,SPHS)患者的肺组织进行免疫组化检测后发现,在肺泡间隔和肺泡的巨噬细胞中发现了代表钩端螺旋体抗原的细颗粒物质
60
。
(3)在钩端螺旋体病豚鼠模型中也发现了在人类患者中观察到的肺出血,该动物模型研究也发现了免疫球蛋白和补体沿肺泡基底膜广泛沉积
61
。许多肺旁器官可见瘀点和出血,这可能至少部分与重度钩端螺旋体病中经常发生的相关凝血异常相关
62
。
(4)SPHS 是严重全身性疾病的临床表现,而不是肺部重症。这一点与研究发现的 SPHS 危险因素相一致,其危险因素不仅包括呼吸频率,还包括低钾血症、血清肌酐升高、休克和格拉斯哥昏迷评分量表
63
。
3、肾脏受累
(1)在轻症钩端螺旋体病中观察到的多尿,似乎是由于钠-氢交换体3 表达减少,导致近曲小管对钠和液体的重吸收减少所致
64
。组织学改变程度不一,通常涉及肾小管变化和间质性肾炎(
图 3
b)。
(2)肾小管损伤包括肾小管上皮变薄和/或坏死、肾小管腔扩张伴透明管型和细胞碎片
56
。宿主肾小管腔是钩端螺旋体生命周期中的定植关键部位,免疫组化显示大量微生物附着在近端肾小管上皮的刷状缘上。人 TLR2 可识别肾小管上皮细胞上的钩端螺旋体脂蛋白(如 LipL32),从而诱导合成一氧化氮合酶(nitric oxide synthase,iNOS)和单核细胞趋化蛋白-1,引发炎症反应
65
。
(3)肾小管炎症可导致间质性肾炎,特征为水肿以及淋巴细胞、单核细胞和浆细胞浸润,偶见中性粒细胞浸润
56,66
。在发病的前 2 周内,这种间质性肾炎的损伤范围和强度会增加。大多数存活的钩端螺旋体病所致急性肾衰患者的肾功能可恢复正常。然而,一些患者存在持续性肾功能不全,肾活检显示肾小管萎缩和间质纤维化
67
。
图 3
钩端螺旋体病的组织病理学
a 肝脏组织学通常显示肝细胞之间缺乏正常粘附,这是本病的标志性改变(图片来源:Thales De Brito)。b 典型肾组织病理学改变为急性肾小管坏死和间质性肾炎。肾小球基本无异常。摘自 Abdulkader 和 Silva 的 The kidney in leptospirosis。 Pediatr Nephrol 2008; 23:2111–2120, with permission of the publisher, Springer
诊断
临床表现1、前瞻性监测研究的数据表明,流行地区的大多数人感染钩端螺旋体后为轻症或无症状。钩端螺旋体病的严重程度从轻度自限性发热性疾病到危及生命的暴发性疾病不等。2、潜伏期从暴露到出现症状,潜伏期平均为 7 至 12 天,但也可短至 3 天或长至一个月。52 名运动员在同一天参加斯普林菲尔德铁人三项赛后,经实验室确诊为钩端螺旋体病,在暴露与症状发作之间有 6~29 天的时间差,这表明了潜伏期的显著差
诊断
临床表现 | 辅助检查 | 诊断路径
鉴别诊断
同类疾病的相似点和鉴别点
治疗
治疗原则 | 治疗方案 | 药物治疗
其他
控制目标 | 预后 | 预防等
会员登录后 查看完整内容
立即登录
参考文献
文献评审日期:2022-05-27
1. Alston, JM.; Broom, JC. Leptospirosis in man and animals. E. & S. Livingstone; Edinburgh: 1958.
2. Faine, S.; Adler, B.; Bolin, C.; Perolat, P. Leptospira and leptospirosis. 2. MediSci; Melbourne: 1999.
3. WHO . Leptospirosis worldwide, 1999. Wkly Epidemiol Rec. 1999; 74:237-242.
展开